Gigi & Mulut

Leukoplakia

Senin, 20 Mei 2024 | 13:55
Leukoplakia adalah adanya bercak tebal berwarna putih atau abu-abu pada gusi, bagian bawah mulut, dinding mulut, dan kadang pada lidah. 

Tooth Discoloration (Diskolorasi Gigi)

Kamis, 16 Mei 2024 | 11:17
Tooth discoloration atau diskolorasi gigi adalah suatu kondisi dimana warna gigi Anda berubah.

Erosi Gigi

Kamis, 16 Mei 2024 | 11:01
Erosi gigi adalah suatu kondisi terkikisnya lapisan terluar gigi yang disebut enamel.

Stomatitis

Kamis, 16 Mei 2024 | 10:11
Stomatitis adalah istilah umum untuk menggambarkan peradangan dan luka pada mulut (sariawan).

Pulpitis

Rabu, 15 Mei 2024 | 16:08
Pulpitis adalah peradangan pada pulpa yang nyeri. Pulpa sendiri adalah jaringan lunak gigi yang paling dalam

Glositis

Rabu, 15 Mei 2024 | 15:41
Glositis adalah radang lidah yang menyebabkan lidah bengkak dan menglami kemerahan.

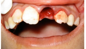
Avulsi Gigi

Rabu, 15 Mei 2024 | 15:04
Avulsi gigi adalah gigi yang terlepas sepenuhnya dari soketnya

Maloklusi

Selasa, 14 Mei 2024 | 16:29
Maloklusi adalah suatu kondisi saat susunan tulang rahang dan gigi tidak sejajar atau rata.

Karies dental

Jumat, 26 April 2024 | 10:30
Karies dental atau gigi berlubang adalah kondisi terjadi kerusakan pada lapisan enamel dan dentin.

Trauma Gusi

Rabu, 20 Maret 2024 | 10:59
Trauma gusi adalah trauma yang disebabkan oleh benturan yang cukup untuk menghasilkan luka pada gusi ataupun struktur lain disekitar mulut

Topik Kesehatan